November 14, 2025 - 23:46

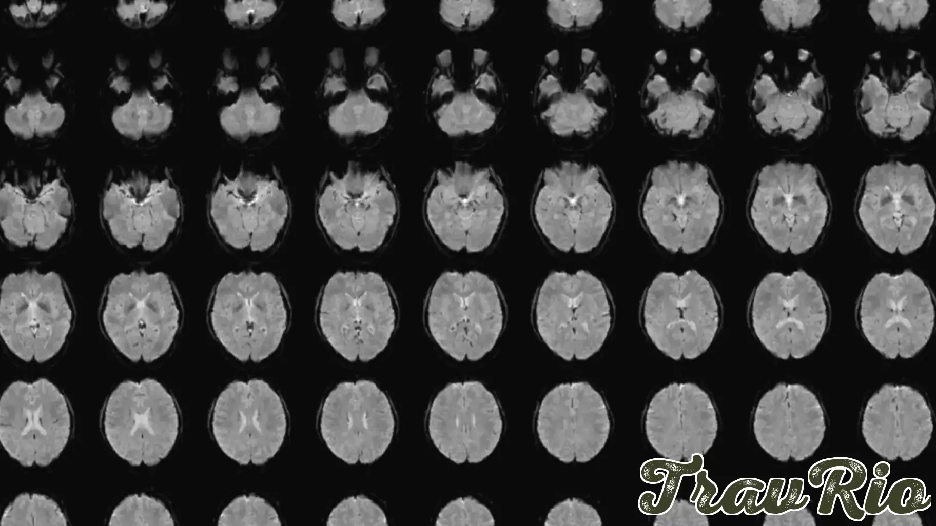
A groundbreaking technique has emerged from Japan, enabling the translation of mental images into coherent text through advanced brain scans and artificial intelligence. This innovative method, developed by scientist Tomoyasu Horikawa, marks a significant step forward in understanding how our brains process and articulate complex visuals.
While previous advancements have focused on converting thoughts into words, the challenge of transforming intricate mental images into descriptive sentences has remained largely unsolved. Horikawa's research, published on November 5 in the journal Science Advances, showcases the potential of this technology to bridge the gap between human cognition and digital communication.
By analyzing brain activity, the technique captures the essence of what individuals visualize and translates it into accurate language. This development not only highlights the capabilities of modern neuroscience but also opens new avenues for applications in fields such as psychology, communication, and even creative arts. The implications of this research could redefine how we express and share our inner thoughts and experiences.
February 24, 2026 - 06:42
India's technology sector to grow 6.1% in fiscal 2026, industry body saysIndia`s technology industry is forecast to expand by 6.1% in the current fiscal year, according to a leading industry association. The projected growth is attributed to a rising demand for services...
February 23, 2026 - 01:18
Syracuse Orange grab extra point vs. Rochester Institute of Technology Tigers in overtime - The Rink Live | Coverage of youth, junior, high school and college hockeyIn a tense non-conference clash that required extra time, the Syracuse Orange emerged victorious with a 4-3 win over the Rochester Institute of Technology Tigers this past Saturday. The tightly...
February 22, 2026 - 17:43
The Irish technology being used to track Russian submarinesA pioneering method developed by researchers at Trinity College Dublin is transforming standard subsea fibre-optic cables into a vast, sensitive network for tracking movement in the ocean`s depths....
February 21, 2026 - 18:47
Chicken’s Next Boom Hinges On Technology, Not HeadcountFor decades, the rise of chicken in the American diet appeared to be a simple tale of consumer demand. Poultry cemented its place as a value-driven, versatile protein, steadily claiming more...